创作立场声明:做好室内空气净化,带回洁净健康空气。
又到了雾霾季节,相信很多人又开始把空气净化器搬了出来。

我算是较早一批使用空气净化器的那波人,我家不光是在雾霾天才开,基本全年都在用,因为空气净化器在平稳运行时大体都较为节能,而且不在乎那微乎其微的电费了,常开着过滤空气总归是没坏处的。
对于空气净化器,个人感觉适用性即体积和噪音两个指标很重要。毕竟常年室内适用的东西,多占了空间,运行声音过大影响了睡眠的话就不想用了…

家里一共有两台空气净化器,一台三星,一台飞利浦。
三星的那台空气净化器买得较早,现在已经停产。当时购买的时候没有考虑到更换滤芯,现在悲催的是已经没有了适配滤芯在售,完全成了“一次性”产品….
后来购买飞利浦AC4076的时候,除去颜值、静音等因素,也将滤芯耗材作为高选购权重相应考虑了进去。


飞利浦(PHILIPS)空气净化器家用卧室客厅办公室除除甲醛烟尘除雾霾智能过滤AC40761899元京东去购买
大厂滤网持续在售也是空气净化器得以长时间使用的一大前提。以为大厂滤网总归没问题,可之后潮湿天气滤网发酸的问题又困扰着我….
吃了这么多的药,现在才知道关于空气净化这件事,最为关键的就是过滤网了,这就像有句著名的广告词“药材好,药才好”一个道理,因为真正把过滤净化的实际是过滤网,而不是那个塑料壳的机器。
滤网的基本构造
净化器所用滤网等级、品质、材质、价格、过滤作用,这些我们常人来说都是无法鉴别的,全靠厂家的一张嘴,也只能通过厂家的说明以及产品参数来判断了。
对于我来说,比较相信那些标注了参数细节的HEPA滤网,再有就需要自己的肉眼判断了。

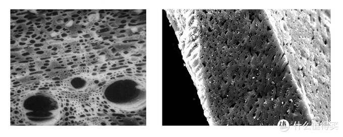
过滤网主要构造
真正的过滤网或者叫滤芯,简单地说就是经过反复折叠的滤纸,叠成瓦楞波浪纸,然后用框密封固定住。通过这种方式,可使得过滤器中滤材的展开面积可以达到过滤器迎风面的面积的数十倍甚至上百倍。

过滤效率取决于气流在材料中的滞留时间,过滤风速越低,过滤效率越高。滤纸的阻力与风速风量也成正比关系,太高的过滤效率势必会增加滤网的阻力,也会使得空气净化器出风量减少。目前大多数家用空气净化器都采用H11级别左右的过滤纸,可以达到最优的过滤效率和出风量。对于H13级别以上的过滤纸,大家看一看就好了,因为级别太高造成的阻力太大,家用净化器的风机根本带不动,一般用于工业级空气净化。

所以滤纸的折数越多,高度越厚,展开面积就越大,效果就越好。因为通过折叠,获得大的滤纸面积和一定的纵向厚度,有两个显而易见的好处,通过A4纸折叠举个例子。

第一,滤网的展开面积越大,能容纳的粉尘就多,过滤器的使用寿命就长。
第二,更大的展开面积也实际上降低了气流穿过材料的速度,也就是滤纸的迎面风速,这样过滤的效率就越高。
滤网的密封性
这个很容易理解,风总是从没有阻力的地方通过的,滤网的密封性不好,相当于空气没过经过滤纸,净化效率势必会大打折扣。

对于滤网的密封性,同样需要在选购的时候考虑进去,这一点也很考验产品的做工和用料。
爱恨交织的原厂滤网
滤芯的寿命根据每天使用时长的不同、空气质量的不同,一般来说为3个月到半年。我家使用频率比较高,在家基本就开着空气净化器,滤芯基本3个多月一换。
之前更换滤芯原装滤芯都是原厂滤芯,不得不说原厂滤芯还真不便宜。


飞利浦(PHILIPS)净化器滤网FY3107滤芯AC4076AC4016ACP077配件滤网259元京东去购买
旧滤网自己曾经还拆解看过,基本为过滤网布夹着活性炭颗粒的构造,碳颗粒很小,号称甲醛的CADR值可以做的很高,活性炭的多孔构造比较适合甲醛等物质的吸附。

新家入住已经两年多,当时的精装号称采用的都是优质环保材料,入住的时候也做过甲醛检测很放心,甲醛早已不是要去除的主要目标,现在主要用空气净化器来净化雾霾和灰尘,重点在于空气中的颗粒物。
原厂没有纯HEPA滤网卖,只有这种复合除甲醛功能的滤网。用得时间久了,就发现了一个问题,可能也正是因为其内含丰富的细小碳颗粒,在家里相对较潮湿雨季使用的这个滤芯,碳颗粒容易吸收水分,时间长了易发霉发出酸味。在干燥季节使用不错,但不适合在潮湿环境下使用。

靠谱的专业第三方过滤网?
关于第三方滤网,网上一搜的确有很多,能生产滤纸的必须是上规模的大企业,但能用滤纸造过滤器的山寨工厂就太多了。
拆解过滤网,感觉滤网的制作,一台折纸机、一台灌胶机、一台封边机就可以,现在这年头,为了赚钱,管它滤网什么材料,只要材料便宜不负责任的小厂都敢用,到底有没有过滤效果,对于普通用户也得而知,所以针对第三方滤网我还是持谨慎的态度。
选择的时候给自己定下了三个要素。
偶然一次,在朋友家看到一款小众的净化器,听他说使用效果不错,还很静音,最主要小巧、颜值高。

后来才发现这跟我现在在用的空调滤网是同品牌,比3M更出色的品质让我好感更是倍增,关键对于专业度已经认可,对空气过滤网的效果很满意。对于适配飞利浦AC4076的空气滤网,商品页面对参数标示感觉十分专业。

针对不同环境的污染源设计不同的过滤网,这点我比较赞同。就比如我家现在检测后空气中无甲醛,那么原厂具备除甲醛功能的过滤网,对我来说就是功用过剩,性价比也随之降低。
看了下第三方滤网价格只有原厂的一半,考虑到我的轻微过敏性鼻炎,便入手尝试了一套防过敏的过滤网。


吉若奥配飞利浦空气净化器AC4076过滤网滤芯AC40774017Phi4076-除菌防过敏专用过滤网188元京东去购买
颗粒物过滤材料等级为H12,超过了大多数空气净化器采用的原厂H11等级,而且在安装新滤网后的出风量很好,完美适配设备。

当时我也不以为然,觉得适配,出风量好就行。但用了一个月下来,发现这款滤网真的好用,最主要的是不发酸,而且对于空气质量特别敏感的我,空气中的灰尘含量多一点就容易打喷嚏,现在只要在家的时候都不会打喷嚏,当然感冒的时候除外。
后来在3个月后更换滤网的时候对这款做了拆解,看也看了下第三方滤网的细节。
原厂滤网折了58次,打开面积1.4㎡。这款则是折了84次,拆解之后打开面积2.5㎡。大面积过滤网的同时感觉比原厂出风量还要大,相对的空气净化效率也要更高。

原厂滤网构边框构造为软边条,在用的第三方则是硬纸框,与设备结合更为紧密,相对来说密封性更好。

这款滤网表面跟原厂不一样,呈现的蓝色不仅仅是颜值,更在于滤网的三层构造,除了颗粒物过滤层,还特别加了防螨防霉层、除菌抗病毒层。

发挥除菌抗病毒作用的那一层,区别于很多厂家低成本喷抗菌剂的做法,采用了固态铜离子抗菌抗病毒层,这个更安全,更持久,不易脱落。
具有英国过敏协会的认证,将环境中容易导致过敏、哮喘等症状的过敏原有效滤除,降低过敏症状的发生,在家不打喷嚏的感觉很清爽。所以像我这样有过敏性鼻炎困扰的人,家里有孕妇,小孩的,非常适合使用这款滤网。

特定环境的专效滤网
滤网的针对性很重要,即特定的环境、不同的季节,污染源不同,所使用滤网的功能也应该有所针对。
也就是说,滤网的体积是固定的,任何一种过滤网在一定的体积下,不可能解决所有的问题。所以,净化的核心,首先明确环境中的主要污染物是什么,这样才能真正的解决空气污染的问题。即便是室内,大家身处的具体环境也不一样,面临的具体污染也不尽相同,采取的空气净化对策也不一样。

·如果家有孕妇、小孩,或者像我这样的敏感群体,需要的是除过敏原、细菌等。
·如果是养宠家庭,则是需要除宠物的异味、皮屑、毛发。
·如果是新装修完的新居,则要注意去除空气中甲醛等有害有机物。
·如果你住在街道附近,家有烟民或经常烹饪做饭,面临的是汽车尾气氮氧化物和颗粒物等污染。

当我们在谈论空气净化的时候,我们在谈论什么?
世界卫生组织发布的《室内空气污染与健康》指出:

空气中的微生物、细菌、传染病毒等也无时不刻在威胁自己与家人的健康。

活在当下,关心身边具体的污染环境,为家人选择更具针对性的选择净化器和滤网,才是关键!
