超声仪基本构造(二)
成像模式
1.A模式示波器在纵轴上显示返回的振幅信息,在水平轴上显示反射距离信息,常用于眼科检查。
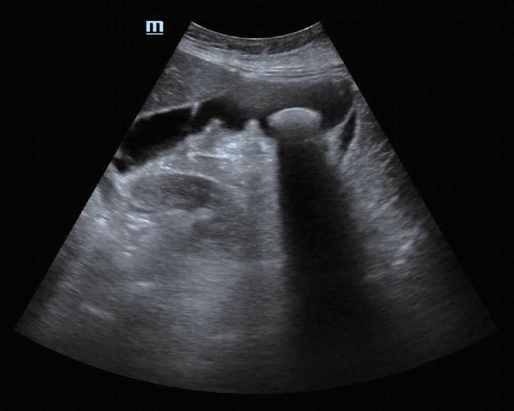
2.B模式利用显示器的灰阶显示声束扫描身体切面各个点的回波信号的振幅,最终形成二维图像,是超声诊断中最常用的模式(图1)。

图1B模式
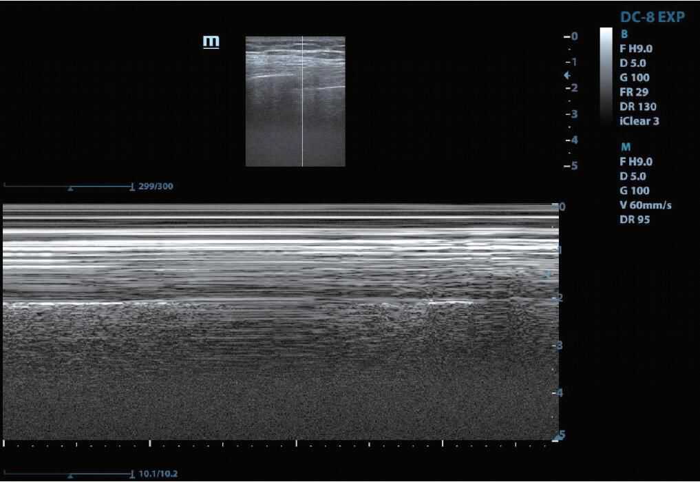
3.M模式探头在某一位置上反复发射、接收信号,用纵坐标表示目标结构的移动深度,横坐标表示时间,通常用于观察瓣膜运动或测量胎儿心脏活动(图2)。

图2M模式
4.D模式是利用“多普勒效应”,在B模式图像上加以颜色实时显示血流(彩色多普勒,图3),或将目标血流信息以频谱形式表现(频谱多普勒)的模式。

图3D模式
5.频谱多普勒
(1)脉冲多普勒(PW):探头间断发射与接收的超声波脉冲,所显示的是声束上某一深度的血流速度、方向和性质。其具有距离选通能力。可定点测定选定区域的瞬时血流频谱,但易受尼奎斯特频率的影响,出现频谱混叠现象,因此不能定量测定高速血流(图4)。

图4脉冲多普勒模式

图5连续多普勒模式
伪像分析
1.常见B模式超声伪像形成原理
(1)外部混响:超声垂直照射到平整的高反射界面,如胸壁、腹壁,超声波在探头和界面之间来回反射,发生多次反射。混响的形态呈等距离多条回声,回声强度依深度递减(图6)。

图6肺内气体所致的外部混响伪像(箭头示A线)
(3)内部混响:超声波在器官组织的异物内来回反射直至衰减,产生特征性的彗星尾征,此现象称内部混响(图7)。

图7胆囊附壁结晶所致的彗星尾征
(3)振铃效应:超声波在若干微气泡包裹的极少量液体中强烈地来回反射,产生很长的条状图像干扰,振铃效应在胃肠道内(含微气泡和黏液)相当多见(图8)。

图8胃内气体所致的振铃效应
(4)部分容积效应:超声波形状特殊而且波束较宽,由超声断层扫描时断层较厚引起,例如:肝脏的小囊肿内可能表现为低回声(来自小囊肿旁的部分肝实质),或膀胱后壁因部分容积效应显示不清晰(图9)。

图9膀胱后壁因部分容积效应边缘显示不清晰
(5)旁瓣伪像:由主声束以外的旁瓣反射造成,如在结石、肠气等强回声两侧出现“披纱征”或“狗耳征”图形(图10)。

图10旁瓣伪像所致肾结石边缘模糊,如同“披纱”
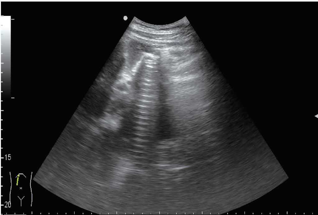
(6)声影:在超声扫描成像中,当声束遇到强反射(如含气肺)或声衰减很高的物质(如瘢痕、结石、钙化)声束完全被遮挡时,其后方出现条带状无回声区即声影,若声影内部存在混杂回声,多为气体所致;若声影内部不存在混杂回声,多为结石、钙化灶和骨骼所致(图11)。

图11胆囊结石后方声影
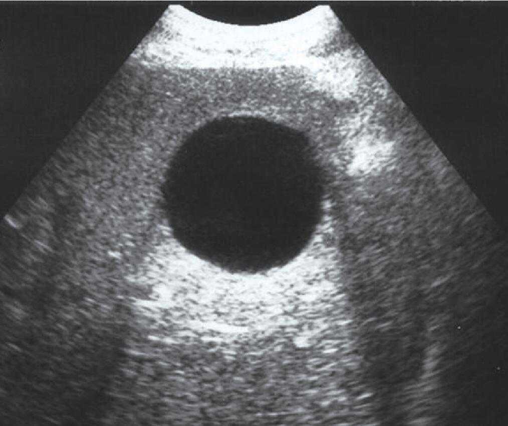
(7)后方回声增强:由于时间增益补偿(TGC)对于同等深度声衰减较小的目标进行作用时,目标后方回声增强的现象。后方回声增强效应对鉴别液性与实性病变有帮助(图12)。

图12囊肿后方回声增强
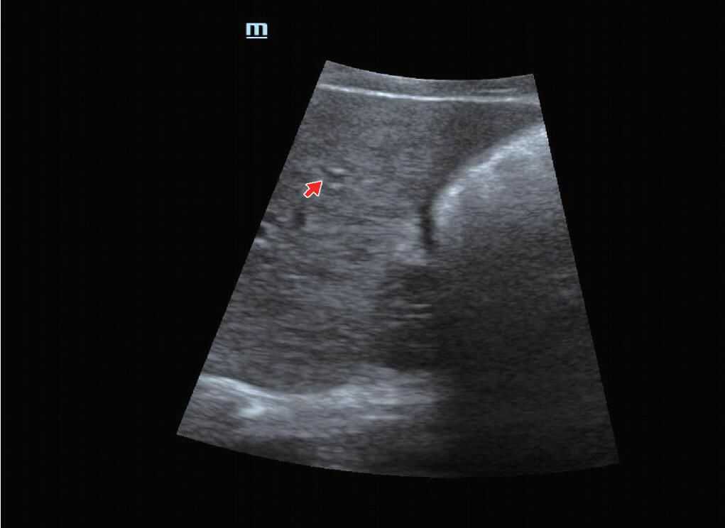
(8)侧边声影和“回声失落”:超声在通过囊肿边缘或肾上、下极侧边时,可以由于折射而产生边缘声影或侧边“回声失落”(全反射)。侧边声影也见于细小血管和主胰管的横断面,呈小“=”征,而非小圆形(图13)。

图13如箭头所示,肝内胆管横断面呈现“=”征
(9)镜面伪像:声束斜射到声阻抗很大的界面时全反射会发生镜面伪像,当肋缘下向上扫查右肝和膈肌时,若声束斜射到声阻抗差异很大的膈肺界面时全反射,会发生镜面伪像。通常在声像图中,膈下出现肝实质回声(实像)。膈上出现对称性的肝实质回声(虚像或伪像);若膈下肝内有一肿瘤或囊肿回声(实像),膈上对称部位也会出现一个相应的肿瘤或囊肿回声(虚像或伪像)(图14)。

图14镜面伪像所致肝右叶血管瘤反射在右侧胸腔内
(10)声速失真:超声诊断仪显示屏上的厘米标志(电子尺)是按人体平均软组织声速1540m∕s设定的。通常,对肝、脾、子宫等进行测量不会产生明显的误差。但是,对声速过低的组织(如大的脂肪瘤)就会测值过大;对于声速很高的组织(如胎儿股骨长径测量),必须注意正确的超声测量技术(使声束垂直于胎儿股骨,不可使声束平行穿过股骨长轴测量),否则会引起测值过小的误差。
2.彩色多普勒超声伪像的形成原理
(1)有血流,彩色信号过少或缺失。
1)多普勒超声(频移)衰减伪像:彩色信号分布不均,即“浅表多血供,深方少血供或无血供”;深部器官血流如肾实质、股深静脉较难显示。
2)多普勒增益过低,频谱滤波设置过高。
3)测低速血流时,不适当地采用较低频探头;测高速血流时,不适当地采用高频探头。
(2)有血流,彩色信号过多。
1)多普勒增益过高(彩色外溢)。
2)仪器厂家故意设置“彩色优先”。
3)使用声学造影剂。
(3)无血流,出现彩色信号。
1)频谱滤波设置过低。
2)多普勒增益过高,出现背景噪声。
3)镜面反射伪像:在强反射界面深方出现对称性彩色信号。
4)闪烁伪像:心搏、呼吸、大血管搏动。
5)组织震颤(高速血流/被检者发音)。
6)快闪伪像见于尿路结石等(位于结石声影中)。
(4)血流方向、速度表达有误。
1)彩色混叠:彩色速度标尺(PRF)过低、测高速血流时采用过高频率探头或较高多普勒频率。
2)方向翻转键设置不当、探头倒置。
3)血管自然弯曲走行(仪器不会识别θ角度)。
4)入射声束与血流方向接近垂直。
本文摘自《协和简明急诊超声手册》(徐军刘小禾主编,科学出版社)



科学出版社赛医学(sci_med)
科学出版社医药卫生分社订阅号