半岛全媒体记者齐娟
近日,吴先生突然发现自己左侧面部和身体发麻,左手和左腿无力,他立刻前往山东大学齐鲁医院(青岛)急诊科,经神经内科医生判断,他得了急性脑梗死,也就是老百姓说的“脑血栓”。医生告诉他,幸亏来的及时,可以进行静脉溶栓治疗。通过我院卒中绿色通道得到及时治疗,吴先生麻木和无力的症状很快缓解。
静脉溶栓结束后,吴先生被收到卒中病房,磁共振结果提示,他右侧大脑半球深部有两个小病灶。
吴先生没有高血压、糖尿病、高脂血症、动脉粥样硬化、房颤等脑血管疾病的常见危险因素,也没有抽烟、饮酒等增加脑血管疾病风险的不良生活习惯,脑血管的磁共振检查也没有发现血管狭窄的迹象。看起来如此健康的他,为何会突发脑梗死呢?
神经内科医生仔细分析了患者的情况,他没有常见的脑血管病危险因素,两个病灶不在同一个血管分布区,动态心电图也没有筛查到房颤,医生考虑有可能存在心源性栓塞的隐匿性原因,于是为吴先生安排了一项特别的检查——TCD发泡试验。
TCD发泡试验结果为阳性,也就是说吴先生很可能存在隐匿的卵圆孔未闭的情况。为了进一步证实病因,医生又为他进行了经食道超声检查,证实了吴先生心脏上有一个未闭合的洞,也就是人们常说的卵圆孔未闭。就是这个不起眼的“小洞洞”,是他脑梗死的元凶。
吴先生转到心内科,进行了卵圆孔未闭的封堵术。出院后,吴先生规律用药,定期到神经内科和心内科复诊。他恢复得很好,没有再出现任何脑梗死相关的症状。
那么,什么是卵圆孔未闭呢?它和脑梗死有什么关系呢?什么情况下要做TCD发泡试验?
山东大学齐鲁医院(青岛)专家介绍,心脏分为左右两部分,每一部分都有一个心房和一个心室,左右心之间有完整的隔断。但是这个隔断并非一开始就有,在胚胎时期,左右心房之间有一个通道,就是“卵圆孔”。正常情况下,这个通道会在胎儿出生后,逐渐融合成完整的隔断。一般婴儿在出生后5-7个月,卵圆孔完成了解剖上的闭合。
如果因为各种原因,导致卵圆孔没有完全融合,就形成了我们所说的“卵圆孔未闭(patentforamenovale,PFO)”。
卵圆孔未闭其实并不少见。一般认为成年人PFO的发生率约为25%,即每4个人中就有1个人存在PFO。通常情况下,由于我们左心房的压力高于右心房,卵圆孔处于关闭的状态,不会出现什么问题。但是在特殊情况下,出现短暂的或慢性右心房压力高于左心房,没有完全融合的卵圆孔就有可能被推开,从而出现自右心房到左心房的不正常的血流,即所谓的“右向左分流”。
卵圆孔未闭和脑梗死有什么关系?
虽然大部人的PFO都不会造成特别的影响,但这个潜在的、异常的血流通路,增加了血凝块(比如从下肢深静脉过来的栓子)从右心系统进入左心系统的可能,从而增加了栓子进入动脉系统形成栓塞的风险。如果脑动脉系统发生了栓塞,就表现为脑梗死。
有大约四分之一的脑梗死患者,通过各种现代化的检查手段都无法查到病因(不明原因卒中);这其中有一半左右的人存在卵圆孔未闭,比例远高于正常人群。近年来,越来越多的研究认为,PFO是脑梗死一个重要病因,并且是独立危险因素。
因此,对于常规检查无法查明病因的脑梗死患者,神经内科医生会建议进行卵圆孔未闭的相关筛查。如果评估结果认为存在卵圆孔未闭,并且与患者脑梗死的发生有关,那么卵圆孔封堵术是一个可以考虑的治疗方案。
卵圆孔未闭的筛查手段有哪些?
对比增强经颅多普勒超声声学造影(TCD发泡试验)
这是临床上简便易行的评估有无“右向左分流”的方法。通过在安静状态和Valsalva动作后注射激活的生理盐水,观察颅脑循环里出现气泡的多少来进行判断。具有操作简便、痛苦小的优点;但不易区分“右向左分流”的不同病因。
目前在齐鲁医院(青岛)神经内科,常规应用TCD发泡试验对怀疑有卵圆孔未闭的脑梗死患者进行初步筛查。
经食道超声心动图和经食道超声心动图声学造影
这是诊断卵圆孔未闭的金标准,可以同时评估卵圆孔未闭的大小和“右向左分流”的血流大小。对于TCD发泡试验阳性的患者,建议完善该检查以明确诊断。
目前在山东大学齐鲁医院(青岛),神经内科和心内科密切联合,对于顽固性偏头痛和隐匿性脑梗死的患者,已常规开展该项检查,确诊了十几例卵圆孔未闭的脑梗死患者,并进行了有效救治。

患者术前TCD发泡试验:静息状态(上)少量微泡信号,Valsalva动作后(下)可见大量微泡信号,形成“雨帘”。
卵圆孔未闭应该如何治疗?
在发现存在卵圆孔未闭的脑梗死患者中,哪些人需要对卵圆孔进行封堵治疗呢?
目前认为,首次发生、没有解剖学上和临床上的危险因素,这类存在PFO的脑梗死患者可以先继续药物治疗,观察病情变化。而对于解剖学上存在危险因素,比如未闭合的卵圆孔过大、“右向左分流”血流过大等等,以及存在1个及以上临床危险因素(见表1)的患者,医生一般会建议其进行卵圆孔封堵术,来预防下一次脑梗死的发生。该手术是介入微创手术,手术时间短,恢复快,效果确切。

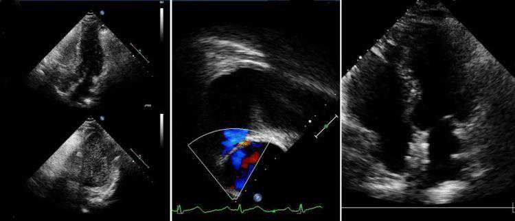
患者术前经胸超声:静息状态(左上)可见少量微泡信号;Valsalva动作后(左下)可见大量微泡信。患者术前经食道超声(中):可见异常的“右向左分流”血流信号。患者术后经胸超声:(右)术后未再发现异常分流。
温馨提示
脑梗死的诊治,并不像老百姓所认为的,定期打活血化瘀的“吊瓶”那么简单,一定要到正规医院进行全面的诊治和评估,以免漏掉真正的病因。对于心源性脑栓塞,除了筛查有没有房颤,一定不要忘记了还有可能是这种一般检查检测不到的心脏“小洞洞”在惹祸!
山东大学齐鲁医院(青岛)神经内科和心内科的卵圆孔未闭多学科诊治团队,有丰富的诊治经验,期望为广大脑卒中患者提供优质诊疗服务,实现卵圆孔未闭的早发现、早预防、早治疗!