丁香诊所:聂顺利
导致关节炎的病因有很多。自身免疫紊乱(类风湿、系统性红斑狼疮),细菌病毒感染(乙肝、丙肝、细小病毒B19),体内代谢异常(糖尿病、高血尿酸、焦磷酸钙盐沉积)等等都可以带来关节肿痛。今天来说说日常饮食里的危险分子:面食。

(图1,含麦麸的食品)
在1888年,SamuelGee描述了一种疾病,它的临床特征是:慢性腹泻、消瘦、反复口腔炎症以及吸收不良。当时被命名为Celiacdisease。然而当时并没有弄清楚该病的病因。解开病因要等到第二次世界大战。当时,由于战争导致了食物短缺。荷兰的儿科医生WillemKDicke发现他的一些病人一旦服用面包或者其他小麦等制品则病情加重,而一旦不吃含「麸质」食品则病情缓解。此后WillemKDicke跟vandeKamer深入研究证实了是「麸质」导致了疾病。停止「麸质食物」摄入即可缓解症状、控制病情。自此,乳糜泻作为一个疾病开始被医学界认识。
在西方人群中,乳糜泻发病率约为1%。我国曾被认为乳糜泻发病率极低,。但这很可能是误解,因为很可能是中国大量乳糜泻病人被漏诊。
中国人群乳糜泻易感基因频率的Meta分析结果显示:中国人群单倍型和HLA-DQ8单倍型频率分别为3.4%(95%可信限:1.3-5.5%)和2.1%(0.1-4.1%);HLA-DQ2抗原频率为18.4%(15.0-21.7%);HLA-DQ8抗原频率为8.0%(4.5-11.4%)。DQB1*0201等位基因频率为10.5%(9.3%-11.6%)。
除基因外,就乳糜泻相关抗体来看,中国青年人群(16-25岁)的IgA组织转谷氨酰胺酶抗体(IgAtTG)阳性率为0.36%(0.28%-0.46%)。对乳糜泻高危群体(慢性腹泻和腹泻型肠易激综合征患者)也进行了乳糜泻筛查研究,结果显示:在慢性腹泻成年患者中,乳糜泻发病率大于6.5%,而在具慢性腹泻症状的儿童中,此发病率高达11.9%。由此可见,乳糜泻在中国并不罕见。(「IgA组织转谷氨酰胺酶抗体」的具体意义见下述)

(图2,中国乳糜泻病人被大量漏诊)
乳糜泻的名字很容易让我们想当然认为该病主要表现是消化道症状。但研究证实,除经典的腹泻、脂肪泻、体重减轻等消化不良症状外,还有大量亚临床表现。比如,较为轻微的非特异性症状:乏力、临界水平铁缺乏(borderlineirondeficiency)、生长迟缓或其他原因无法解释的转氨酶升高。
作为风湿科医生,笔者很自然的注意到乳糜泻的骨骼肌肉症状。
虽然有研究发现大约25%的成人乳糜泻患者存在关节炎;但这些研究里的患者消化道症状突出,病人往往会忽视关节症状。因此以关节症状主诉来就诊可能性小。实际上,明确的乳糜泻患者群里发现骨骼肌肉症状的价值不大。关键点在于,骨骼肌肉症状主诉的患者里有多少乳糜泻。
一项大型队列研究纳入了2125例因风湿病相关主诉而接受评估的儿童。常规筛查发现2%存在乳糜泻。大多数患儿都没有胃肠道症状。开始接受无麸质饮食后,上述患儿的肌肉骨骼症状(主要为肌痛和关节痛)都缓解。
不过该研究对象是儿童。因骨骼肌肉疼痛主诉的成年人里有多少存在乳糜泻?答案是不清晰的。经典的《KelleyandFirestein'sTextbookofRheumatology》并未把乳糜泻列入成人的关节症状鉴别目录。另一部经典风湿病参考书《Rheumatology(第6版)》也仅仅是在第38章节《Gastrointestinaltractandrheumaticdisease》里用较小篇幅阐述了乳糜泻相关的关节病变。

(图3,面临常见风湿病不可解释的骨骼肌肉痛时应想到乳糜泻)
2017年美国预防医学工作组(,USPSTF)认为没有必要对无症状人群做乳糜泻筛查。因为到今天为止,仍未发现筛查的益处足够大。考虑到研究不够透彻,未来需更多研究来权衡筛查的「益处与坏处」。
不做筛查,但需要对症检查。医学界普遍认可:有其他原因不可解释的腹痛、腹泻、体重减轻、临界水平铁缺乏、血清转氨酶增高者应行乳糜泻相关检查。
那么对于骨骼肌肉疼痛、乏力等症状为主诉的人群呢?笔者个人建议:
如有其他病因不可解释的骨骼肌肉疼痛时,可考虑行针对乳糜泻的检查。而不必考虑患者是否有典型的消化系症状。
对于已经可以用经典风湿疾病解释的患者呢?不建议针对乳糜泻检查。但如果常规治疗无效,或者有不可解释的消化系症状时,筛查乳糜泻是必要的。
骨骼肌肉、关节症状是如此普遍,并不是经典的风湿病都能解释。这时风湿科医生应该有足够广阔的视野去应对疾病的挑战。
面对这样疑似乳糜泻的病人,我们该如何诊断呢?目前已有多种血清学检测方法可帮助诊断乳糜泻,包括:
IgA肌内膜抗体(IgAEMA)
IgA组织转谷氨酰胺酶抗体(IgAtTG)
IgG组织转谷氨酰胺酶抗体(IgGtTG)
IgA去酰胺基麦胶蛋白肽(IgADGP)
IgG去酰胺基麦胶蛋白肽(IgGDGP)
血清IgAEMA及IgAtTG检测的诊断准确度最高。曾经有人抗麦胶蛋白/麦醇溶蛋白抗体(AGA)检查。但目前认为该检验的敏感性和特异性都不够高,已经不再推荐。由于部分病人存在先天性的IgA减少,应对乳糜泻高风险人先行血清总IgA检查。或者同时测IgA型+IgG型的去酰胺基麦胶蛋白肽(DGP)。
乳糜泻血清学检查阳性后,一般会寻求小肠活检来确诊。但,上消化道内镜小肠活检也并非必须的。比如皮肤活检确证的疱疹样皮疹,同时有乳糜泻血清检验阳性就足以肯定乳糜泻诊断。

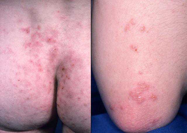
(图4,臀部和肘部瘙痒性水疱,是为乳糜泻患者可见的疱疹样皮疹)
乳糜泻的血清阳性,而小肠活检阴性的情况很少见。这可能有如下因素:
曾经采用非人源tTG作为抗原底物行相关检查,但这会增加假阳性率。因此,应确定采用人源性tTG作为抗原底物的化验法检测。
小肠的组织学异常可能分布不均匀,因此小肠活检应多点采样。采样不够多则容易漏诊。
小肠活检的解读者应是足够熟悉乳糜泻病理的专家,不熟悉乳糜泻病理的病理解读者可能会漏诊。
也有学者主张临床疑似+血清阳性者即可采用「无麸质膳食」来对症治疗。但「无麸质膳食」的成本并不低。确实没有条件(或病人不愿意)行皮肤或者小肠活检,也可以先行「无麸质膳食」来治疗。

(图5,啤酒、麦芽酒、淡啤酒和麦芽醋都可含麦麸导致乳糜泻)
严格的「无麸质膳食」持续4到6周后,大多数乳糜泻患者的症状、生化检验会改善。可以用IgAtTG或IgADGP来监测「无麸质膳食」的反应性。如6周后反应不佳,则应怀疑乳糜泻的诊断。这时必须有小肠活检来确诊乳糜泻的诊断。
最后总结,风湿科医生应一定程度了解乳糜泻病。只有这样才能真正做好疑难骨骼肌肉症状的剖析者。
参考资料:
1,袁娟丽,《乳糜泻研究进展》,食品安全质量检测学报,2015年11月
2,袁娟丽,《中国青年人群的乳糜泻风险性分析》,南昌大学博士论文数据库,2014
3,YSherman,RKaranicolas,《UnrecognizedCeliacDiseaseinChildrenPresentingforRheumatologyEvaluation》,Pediatrics,2015,136(1):e68
4,USPreventiveServicesTaskForce,《ScreeningforCeliacDisease:USPreventiveServicesTaskForceRecommationStatement.》,;317(12):1252-1257.
5,Uptodate文献数据库
6,《易被漏诊的疱疹样皮炎(附图)》,