超声仪基本构造(一)
01
超声产生原理
所有的超声仪器都有相同的原理,即产生超声波、接收回波。石英(或其他复合物、肽酸钡、锆肽酸铅、压电陶瓷类、聚偏氟乙烯等)的压电效应使得这些原理成为可能。压电效应指压电材料受力变形时产生电压(正压电效应)。反之将电压加于压电材料时可使其变形(逆压电效应)。超声波传播至压电材料,压电材料被压缩和膨胀产生不断变化的电信号,接收超声波利用了正压电效应,发射超声波利用了逆压电效应。
02
诊断仪器装置的组成
1)发射与接收单元(包括探头)即超声扫描器。
2)数字扫描转换器(DSC)。
3)超声图像显示装置。
4)超声图像记录装置。
5)超声电源。
03
超声探头的基本构造
1)核心部分是压电材料。
2)压电晶片的背面填充吸声材料。作用:产生短促的超声脉冲信号,提高纵向分辨力。
3)压电晶片的前面贴以匹配层。除可保护压电材料外,还使压电材料与人体皮肤之间的声阻抗差相近。目的:减少发射超声由于过度谐振造成的声能损失,从而提高探头的灵敏度。
04
常见的电子探头类型
1.凸阵探头常用于腹部、妇产科及盆腔超声检查。频率范围:1.0~7.0MHz(图1)。

图1凸阵探头
2.线阵探头常用于浅表小器官或血管检查,频率范围:2.0~12.0MHz(图2)。
3.相控阵探头常用于心脏检查频率范围:2.0~5.0MHz(图3)。

图2线阵探头

图3相控阵探头
05
探头的使用
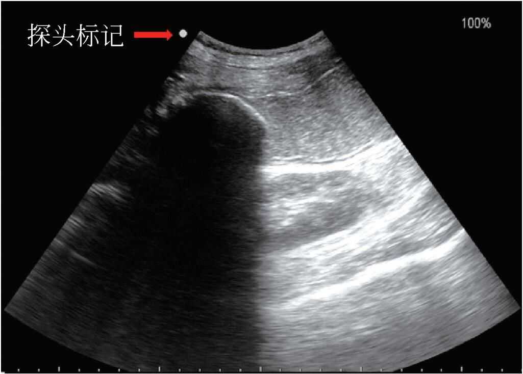
在使用探头检查之前,应使用适量的耦合剂排除皮肤和探头间的空气以获得高质量图像。
1.探头标记探头的一侧都有一凸起或凹陷的缺口。此标记与屏幕图像上方标记是对应的,以图形、商标或其他标记显示出来,在探头上靠近探头标记的物体就会显示于屏幕上靠近标记的一侧;远离标记的物体就会出现在屏幕标记的对侧。一般情况下,除心脏超声的标记在屏幕的右侧外,其他超声显示的标记均在屏幕左侧。一般手持探头时,右手示指指向探头标记,探头标记指向患者的头则或右侧(图4)。

图4标记方位
2.方向判断
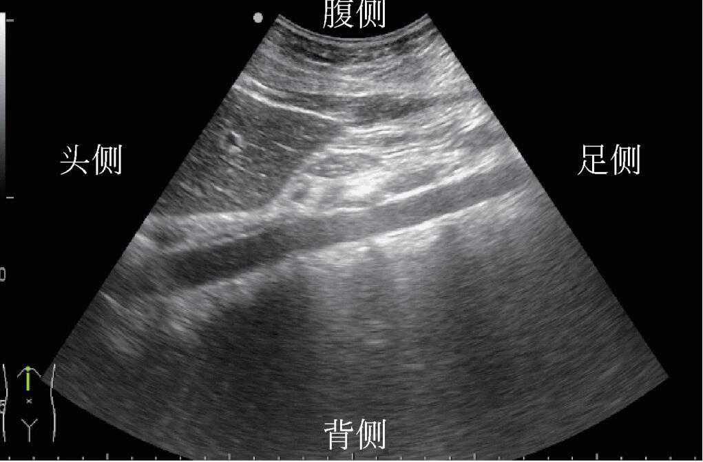
1)探头沿着患者身体长轴方向扫查为纵向或矢状切面。若探头标记指向患者头侧,则在有标记的屏幕侧的结构为患者头侧结构(图5)。
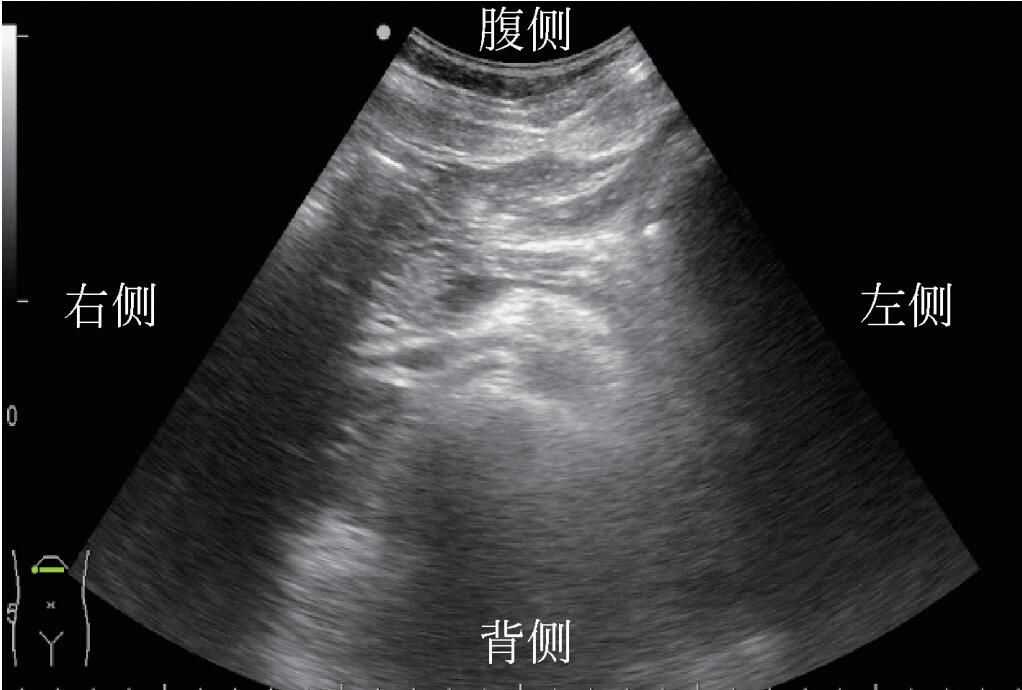
2)探头垂直于患者身体长轴90°扫查时为横向或轴向切面。若探头标记朝向患者右侧。则在有标记的屏幕侧的结构为患者身体右侧结构(图6)。

A

B
图5探头位置与声像对应关系(纵向)

A

B
图6探头位置与声像对应关系(横向)
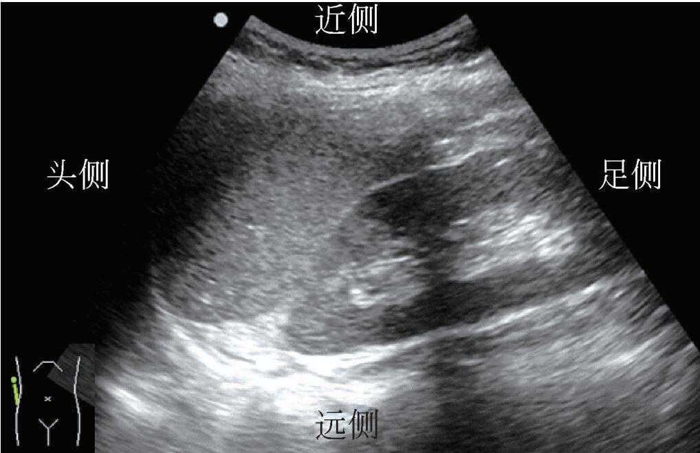
3)探头置于患者一侧横向扫查时为冠状切面。若探头标记指向患者头侧,则在有标记的屏幕侧的结构为患者头侧结构。接近探头的部分位于屏幕上方,远离探头的部分位于屏幕底部(图7)。

A

B
图7探头位置与声像对应关系(冠状切面)
3.超声检查的基本手法
(1)基本手法
1)顺序连续平行断面法:编织式扫查。
2)定点摆动探头扫查法:固定探头位置改变扫查角度。
3)十字交叉法:横纵平面相交扫查法。
(2)改变患者体位及呼吸:如左侧卧位深吸气后屏住呼吸有利于胆囊的探查。
(3)善于利用其他器官作为声窗显示目标器官,如饮水后利用胃内液体做声窗探查胰腺。充盈膀胱探查子宫、前列腺等。
(4)同一器官不同断面间的对比扫查,或成对器官的相互比较。
(5)占位病变应注意加压探查及多方位探查。
06
图像的调节
1.聚焦调节通过调整聚焦区域可以调整侧向分辨力。使用操作面板的Focus键调节。可根据观察深度不同选择单点聚焦,随时调节;也可选择两点聚焦或多点聚焦。聚焦深度通常以指针显示在屏幕的一侧。通过移动指针,使超声束聚焦到目标区域以提高图像质量(图8)。

图8聚集调节键
2.深度调节通过调整成像深度,可以确定整个目标组织或结构显示在屏幕中。深度通过操作面板的Depth键调节。标尺通常在显示屏的右边,来显示被扫描组织的深度(图9)。

图9深度调节键
3.增益调节通过调节增益,可改变超声图像的整体明暗显示。增益通过操作面板的Gain键调节。增益过低易造成低回声或对比度差的病变漏检;增益过高,又可能妨碍对较小病变的辨认(图10)。

图10增益调节键
4.时间增益补偿超声波在人体中传播时,声强会随着传播距离的增加而减弱,从而使深部组织的回波信号小于浅表组织,为了使同一组织器官在不同深度位置获得相近的图像表现,就要通过操作面板的TGC键对后方声场进行增益补偿(图11)。

图11时间增益补偿



科学出版社赛医学(sci_med)
科学出版社医药卫生分社订阅号